歯の詰め物
以前は小さなむし歯を詰める際に、銀色の合金や型をとって銀色の詰め物をしていました。しかし、見た目が悪いとの理由で不評です。当院では見えるところはできるだけ白い色の詰め物をするようにしています。

すでに銀色の詰め物をしている歯でも、白色に詰めかえることができます。
大きさによりますので、ご相談ください。

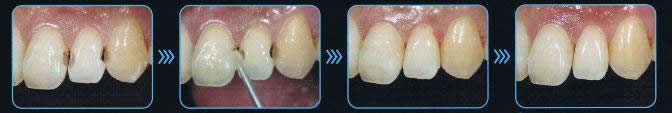
前歯の治療で大切にしたいのは、やはり見た目です。小さな詰め物でも、できるだけ自然な色、形にこだわり、時間が経っても変色しないようにしています。

前歯の治療
歯並びが悪い、歯ぐきがやせて歯が伸びてきた、歯がグラグラするなども、きちんと治療をしてかぶせると、見た目はもちろん歯も長持ちします。難しいケースでは、一度試適をして、歯の大きさや型を見ていただき調整を行っていますので、今の歯に満足していない方などもご相談ください。

ブリッジの治療
歯を抜いた後、土台になる歯があればブリッジという固定の歯を入れることができます。他の医院で入れ歯になっているものや放置されているケースでも可能な場合がありますので、ご相談ください。

